【裁断済】前歯部審美修復 天然歯編 前歯部審美修復 天然歯編 - クインテッセンス出版
(4076件)
Pontaパス特典
サンキュー配送
6000円(税込)
60ポイント(1%)
Pontaパス会員ならさらに+1%ポイント還元!
送料
(
)
4062
配送情報
お届け予定日:2026.05.02 17:29までにお届け
※一部地域・離島につきましては、表示のお届け予定日期間内にお届けできない場合があります。
ロットナンバー
1410492043
お買い物の前にチェック!
Pontaパス会員なら
ポイント+1%
ポイント+1%
商品説明

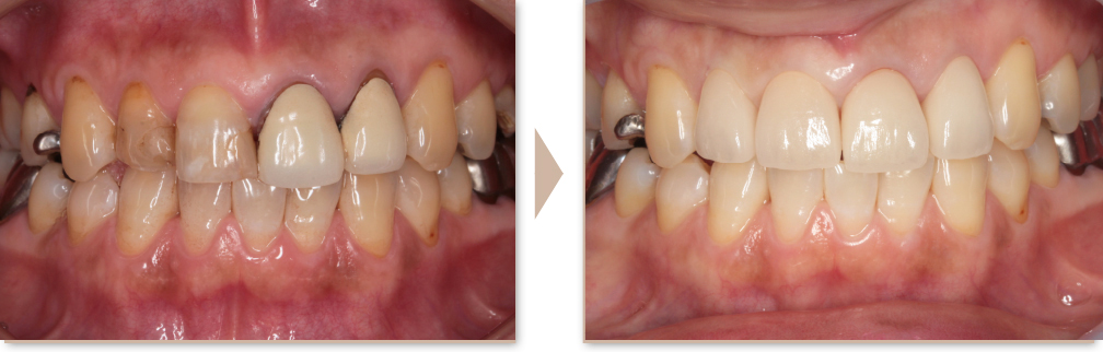
「前歯部審美修復 天然歯編」小濱 忠一定価: ¥ 19800(税込)#小濱忠一 #小濱_忠一 #本 #自然/医療・薬学・健康⚠️裁断済です。⚠️背表紙を切断して1ページずつバラバラにしたものですので、普通の本のように読むことはできません。裁断済の意味が理解できない方のご購入はご遠慮ください。裁断済みであるため全体的に状態が悪いとしていますが、書き込みやマーカーなどはなく裁断済みであること以外は状態は良いと思います。神経質な方のご購入はご遠慮ください。本 \rBOOK \r医学\r保存修復\r保存修復学\rエンド\rペリオ\r国試対策\r義歯\r総義歯\r部分床義歯\r全部床義歯\rフルデンチャー\rパーシャルデンチャー\rDVD\r外科\r歯周外科\rCR\rコンポジットレジン\rSRP\r歯科医師\r歯科衛生士\r歯科技工士\r基礎\r基本\r矯正
| カテゴリー: | 本・雑誌・漫画>>>本>>>健康・医学 |
|---|---|
| 商品の状態: | 全体的に状態が悪い","商品の全体に目立つ傷や汚れ、ダメージがある |
| 配送料の負担: | 送料込み(出品者負担) |
| 配送の方法: | 佐川急便/日本郵便 |
| 発送元の地域: | 福岡県 |
| 発送までの日数: | 4~7日で発送 |
レビュー
商品の評価:




4.5点(4076件)
- タバサ2946
- 読み聞かせに最高です。シンプルでわかりやすいです。
- hima1023
- 妻が子供の頃にお気に入りだった本で子供にも読ませたいとの事で購入しました。まだ、子供は4ヶ月なのでもう少ししたら読んであげます。 色々なパンの絵があって楽しい感じです。
- mf1115
- 「もっちゃうもっちゃうもうもっちゃう」と同じ作者の作品で、面白そうなので購入しました。同じく不思議な展開で、子どもが面白そうに反応してました。最後のページを3歳のむすこが理解するのはちょっと難しいようですが、もう少し大きくなれば、この物語のその後を楽しく想像することができると思います。
- ひーくん8008
- 地上100階建ても購入しましたが、こちらも面白いです。子供と楽しく読んでいます。
- bosmina
- 学校で評判、ということでしたが、内容や親子共々ややがっかり・・・といったところです。 好みの問題もあると思いますので、平均評価とさせて頂きました。
- YUKIT
- 幼児へのプレゼント。願わくば、CDもセットになった商品がほしかった。
すべて見る
お店の情報
7,367
連絡・応対
4.3
配送スピード
4.3
梱包
4.3










