【裁断済み】リンガルブラケット矯正の臨床 リンガルブランケット矯正の臨床 | 居波 徹, 佐奈 正敏, 相澤 一郎, 椿
(4081件)
Pontaパス特典
サンキュー配送
14500円(税込)
145ポイント(1%)
Pontaパス会員ならさらに+1%ポイント還元!
送料
(
)
4062
配送情報
お届け予定日:2026.05.07 3:39までにお届け
※一部地域・離島につきましては、表示のお届け予定日期間内にお届けできない場合があります。
ロットナンバー
1410492912
お買い物の前にチェック!
Pontaパス会員なら
ポイント+1%
ポイント+1%
商品説明




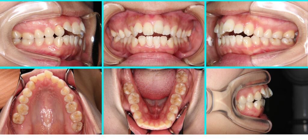
リンガルブラケット技術に特化した臨床ガイド。- タイトル: リンガルブラケット矯正の臨床- 著者: 加藤 龍・佐久間裕・相澤一郎・椎名大二・宮澤健・白根 龍・吉田哲也- 内容: リンガルブラケット技術に関する臨床情報- 対象: 歯科医師・矯正専門医- ページ数: 220ページ- サイズ: A4ご覧いただきありがとうございます。裁断済み商品になりますので購入の際はご注意ください
| カテゴリー: | 本・雑誌・漫画>>>本>>>健康・医学 |
|---|---|
| 商品の状態: | 全体的に状態が悪い","商品の全体に目立つ傷や汚れ、ダメージがある |
| 配送料の負担: | 送料込み(出品者負担) |
| 配送の方法: | 佐川急便/日本郵便 |
| 発送元の地域: | 大阪府 |
| 発送までの日数: | 1~2日で発送 |
レビュー
商品の評価:




4.4点(4081件)
- 桜418
- 甥っ子や姪っ子のプレゼントにいたしました。アンパンマンは子どものヒーローです。
- 27にこ
- ウォーリーはいつまででも見ていられます。子供も3歳ですが夢中でさがしています。
- NiNY*
- 色々なお話をまとめて購入。おやすみ前に毎日1冊。重くないし眠るまで丁度良い長さのお話でした。
- としみつゆづ
- 佐野洋子さんの絵本は絵も内容も好きで今回で3冊目です。 お盆休みに二人の娘家族が集まるので5歳の孫が読めるように注文しました。 ちょうど5歳の孫が二人いるので年齢的にもぴったりの絵本です。 私も年だからと言い訳せず孫と元気に過ごしたいです。
- 紫蘭16103
- 絵も可愛く大好きです! 日本語と英語両方あるのもいいですね。 今一歳の子どもですがトイレのことを意識しだすようになればいいなーと思ってます。
- あるふぁ3887
- 色々なお話をまとめて購入。おやすみ前に毎日1冊。重くないし眠るまで丁度良い長さのお話でした。
- サンマーレー
- このシリーズ7冊目です。 清掃車が工夫されていて気に入りました。
- mizuma0423
- 1ページに大きく定番の動物が写真で載っているので赤ちゃんには見やすいです。
- tktk7755
- みいつけたの番組が大好きな1歳8ヶ月の娘へ 買いました。 コッシーを見つけると「あっ!!」って指差して すいちゃんを見つけると 一緒にオイーっすポーズしています。 とってもお気に入りです!
- やかん3307
- 子どもに買い与えた本を孫娘にも・・。松谷みよ子さんの絵本の中で一番好きな本です。
- moka!!
- 地元の書店では扱いが無かったので、ここで購入しました。注文してから届くのがものすごく早くて助かりました。 母親も兄弟たちも皆真っ黒の毛並み。自分だけ真っ白の毛並みを持つしろちゃんは、いつもコンプレックスに思っていました。『自分だけ違う』と引け目を感じるしろちゃんでしたが…。 子猫達の愛らしい姿が魅力ですが、ストーリーも読み終わった後に優しい気持ちになれる様な一冊です。
すべて見る
お店の情報
7,367
連絡・応対
4.3
配送スピード
4.3
梱包
4.3










